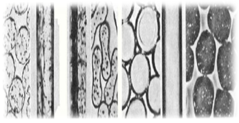
Vistas microscopicas
La forma de la sección transversal de las fibras acrílicas depende fundamentalmente del proceso de hilatura utilizando en la transformación del polímero en fibra. La hilatura en húmedo conduce generalmente a fibra de sección transversal redonda o arriñonada. Las fibras hiladas en seco suelen poseer secciones con forma aplastada - bilobulada. En el mercado existen también como variantes del tipo convencional de una productora concreta (forma de V, Y, T, multiglobal o dentellada).
El conocimiento de la forma de la sección transversal constituye una ayuda valiosa para la identificación del origen de una fibra acrílica concreta.

